Factors That Affect Gum Recession
Gum recession occurs when the gums start to pull back from the roots of your teeth.
Some causes of gum recession include:
- Periodontal Disease
- Genetics
- Tooth Brushing Routine
- Poor Dental Hygiene
- Hormonal Changes
- Tobacco Use
- Grinding or Clenching of Teeth
- Crooked Teeth or Bite Misalignment
- Body Piercing
Could Gum Disease Be the Cause of Your Gum Recession?
Many individuals find that they begin to look “long in the tooth,” and are unhappy with such an appearance. This is due to receding gum tissues. Fortunately, gum recession is a common condition that can be treated by Dr. Alejandro Kovacs and Dr. Tom M. Smith. However, it is important for us to first determine why your gums have begun to recede.
Contact Us TodayStages of Gum Disease

Patients who have come to our office complaining of receding gums in Longview, TX
are often surprised to learn that gum recession can come from a variety of factors. From gum disease to tongue piercings, these factors need to be addressed so that gum recession can be avoided.
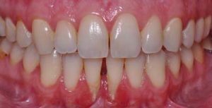
Before & After Procedure: Gingival Graft

Some of the most common reasons for gum recession include:
To find out more about gum recession and to talk about the symptoms that are concerning you, such as gum disease, bad breath, “long” teeth, bleeding gums, swollen gums, or sensitivity while eating and drinking, contact Dr. Kovacs in Longview, TX. Please call our offices today to schedule your consultation.
